中医健康网

肥胖型星形细胞瘤(肥胖型星形细胞瘤二级严重吗)

全国党媒信息公共平台 0
文章目录:

大陆赠台大熊猫罹患胶质细胞瘤死亡,专家:属恶性肿瘤

来源:【人民日报健康客户端】

据央视新闻12月19日消息,大陆赠台大熊猫“团团”的病理解剖报告公布,确认“团团”大脑罹患“肥胖细胞型星形胶质细胞瘤”。这是一种原发性脑瘤,也是造成“团团”癫痫的原因。

11月18日,医务人员为大陆赠台大熊猫“团团”治疗。环球网图

“肥胖细胞型星形胶质细胞瘤这种疾病,在本就属于稀缺物种的熊猫中也不常见,属于偶发事件。人类中也有这个疾病的存在,我们常说的胶质瘤,常见的一种亚型为星型细胞瘤,而肥胖细胞型星形胶质细胞瘤则是星型细胞瘤的一种,是由于大脑中正常细胞的基因突变后形成的肿瘤。”12月19日,中国医师协会脑胶质瘤专委会的一位专家在接受人民日报健康客户端采访时指出。“肥胖型星型细胞瘤属于低度恶性的脑胶质瘤中的一种,以含有大量的典型的肥胖细胞为特点。这类肿瘤成因目前仍然不是十分明确,一般认为胶质瘤是基因突变与环境因素相互作用的结果。”中南大学湘雅医院神经医学中心主任肖波在12月19日接受人民日报健康客户端时表示。

中国医师协会脑胶质瘤专委会的该位专家强调,该肿瘤可引发癫痫、运动障碍,语言障碍等。具体影响取决于肿瘤的位置,如果肿瘤位置接近运动中枢,可能会引起运动障碍;接近语言中枢,可能会引起语言障碍;当肿瘤接近大脑皮层时,则可能会引发癫痫。肖波也指出,后期肿瘤生长过大将会危及患者的生命。

提及该肿瘤的治疗,两位专家均表示,目前主要治疗方法是以手术切除为主的综合治疗,手术是最基础的治疗,如果切除不彻底可根据情况辅助放化、化疗、免疫治疗、靶向治疗等。

“健康的生活方式和良好的环境因素是我们远离各种肿瘤的不二法宝。定期的体检或者有神经功能症状时早检查,早诊断,早治疗也是我们战胜这类疾病的利器。”在采访的最后,肖波为疾病的预防提供了建议。

责编:刘颖琪

本文来自【人民日报健康客户端】,仅代表作者观点。全国党媒信息公共平台提供信息发布传播服务。

ID:jrtt

常见疾病的不典型征象|囊性脑膜瘤

影像时间

简要病史

女性,35 岁

主诉:头痛、头晕 3 个月,记忆力下降 2 周

实验室检查:无特殊

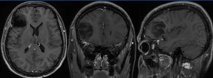
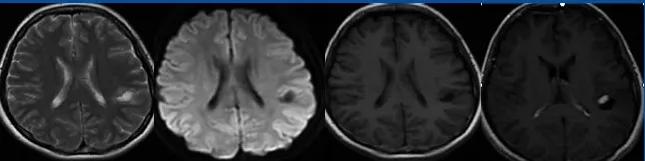
检查方法及图像:

方法:颅脑 MRI(平扫 增强)

图像如下:

T2WI:

T1WI:

T2WI-FLAIR:

DWI:

ADC:

T1WI 增强轴位:

T1WI 增强矢状位:

T1WI 增强冠状位:

病理结果:

「颅内肿瘤切除标本」:初步考虑皮细胞型脑膜瘤 (WHOⅠ级),待免疫组化进一步诊断

「颅内肿瘤切除标本」:免疫组化支持皮细胞型脑膜瘤(WHOⅠ级)

小结

脑膜瘤属于脑外肿瘤,是最常见的颅内非神经上皮组织起源肿瘤,主要起源于蛛网膜帽状细胞,少数来源于硬膜的成纤维细胞、蛛网膜或脉络膜

大多数的囊性脑膜瘤位于大脑的凸面,尤其是额顶区,常见病理类型有纤维型、上皮型、过渡型、血管瘤型等

囊性脑膜瘤的发生机制有多种说法,一般认为有以下6种原因:

①肿瘤变性,如黏液性变,这种囊腔位于肿瘤之内

②分泌型脑膜瘤,肿瘤细胞分泌液体,这种囊腔位于肿瘤之内

③陈旧坏死转变为囊腔,这种囊腔位于肿瘤之内

④肿瘤周围增生的胶质细胞主动分泌产生液体,这种囊腔位于肿瘤周围脑组织内

⑤肿瘤周围水肿的脑组织或脱髓鞘变性的脑组织发生囊性变,或者水肿组织的含液间隙融合成较大囊腔,这种囊腔位于肿瘤周围脑组织内

⑥蛛网膜下腔夹在肿瘤脑组织之间而引流不畅,逐渐形成肿瘤周围囊腔,这种囊腔位于肿瘤和脑组织之间

根据囊性病变在瘤中的位置,Rengachary 等将其分为瘤内型及瘤外型;Nauta 又进一步将其分为4型即:

Ⅰ型为囊性区域完全包裹在脑膜瘤中央

Ⅱ型为囊性区域处在脑膜瘤边缘但仍完全在其内,细胞浸润囊壁

Ⅲ型为囊性区域处在脑膜瘤边缘之处,是由于脑脊液滞留在肿瘤与脑组织之间,形成假性囊肿,如假性囊肿周边发生粘连、增生,则形成真性囊肿,囊肿的囊壁多由结缔组织、神经胶质细胞组成,多无肿瘤的浸润

Ⅳ型为与脑膜瘤粘连、并含有脑脊液的蛛网膜囊肿,是因为肿瘤生长压迫瘤旁的蛛网膜下腔而形成假性囊肿,引起囊肿壁的胶质细胞或纤维组织粘连、增生形成蛛网膜囊肿

囊性脑膜瘤具有脑外肿瘤信号特征,具有明确占位效应; 囊性脑膜瘤的实质部分具备典型的脑膜瘤信号特点

形态: 呈类圆形、类椭圆形,形态规则,大小不等,少数呈分叶状,边界清楚

信号: 与病理类型有关,T1WI 呈等或稍低信号,与病理类型关系不明显,T2WI 纤维型呈稍高或等, 甚至低信号,上皮型、血管型、过渡型多呈高信号

囊腔可位于肿瘤内、边缘或外周脑组织内,呈大小不一圆形、类圆形、弧形等形态,T1WI 呈低信号,T2WI 呈高信号

增强扫描时,肿瘤实质部分强化明显,囊腔无强化,囊壁可有完整或部分环状强化。部分病例可出现典型硬脑膜尾征,有助于诊断

鉴别诊断

胶质瘤 (弥漫性星形细胞瘤、多形性黄色星形细胞瘤)


转移瘤

弥漫性星形细胞瘤(DA)

多见于成年人,发病高峰年龄段为 30~40 岁,男性略多于女性

大脑皮层 DA 多表现为长 T1 长 T2 信号囊性肿块,周围无水肿,增强后多不强化

肥胖细胞型星形细胞瘤(GemA)瘤体可较大,信号不均,占位效应及瘤周水肿明显,增强扫描明显不均匀强化

影像时间

病例展示

38Y/M

主诉:突发意识不清伴肢体抽搐 1 次

右侧额叶胶质瘤切除标本:结合免疫组化结果诊断肥胖型弥漫星形细胞瘤,WHO2 级,IDH 突变型

多形性黄色星形细胞瘤

是中枢神经系统的一种少见的特殊肿瘤, 好发于儿童和青少年

多位于脑的表浅部位

典型表现为位于脑膜下的囊性病变伴有附壁结节或囊实性肿块,一般囊腔大、瘤结节小

下述两例病例 MRI 表现典型(囊性病变伴有附壁结节),病理均为多形性黄色星形细胞瘤

转移瘤

多位于脑灰白质交界区

常为多发病灶,明显强化,瘤周水肿更明显,结合病史不难诊断

影像时间

病例展示

72Y/F,左肺腺癌

右侧顶叶肿瘤切除标本:结合病史及免疫组化结果支持肺腺癌转移

小结

囊性脑膜瘤较少见,容易误诊,MRI 检查可对其进行分型,并清晰地显示肿瘤的囊壁有无强化以及肿瘤与周围结构的关系,对于手术方案的选择有重要的指导意义

为避免术后复发,在技术可行的情况下,应在术中完整的切除囊性脑膜瘤囊壁

来源:影像时间

【版权声明】本平台属公益学习平台,转载系出于传递更多学习信息之目的,且已标明作者和出处,如不希望被传播的老师可与我们联系删除

常见胶质瘤的放疗

毛细胞型星形细胞瘤

该肿瘤常见于儿童和青少年,按WHO分级为I级,常见于中线部位如下视丘、小脑,脊髓内的毛细胞型星形细胞瘤,常见于老年患者,肿瘤大体为局限性肿瘤,显微镜下仍存在一定程度的脑实质浸润,手术全切是根治的最好方法。但脊髓内毛细胞型星形细胞瘤很难做到病理上全切,未全切的患者应采用局部放疗,常规分割1.8~2.0Gy、DT54Gy、PTV为MRT2像上水肿带外放1.5~2cm即可。

室管膜下巨细胞型星形细胞瘤

该肿瘤多见于年轻人,是结节性硬化症错构瘤性病变的一部分。笔者见一例23岁女性患者,右侧室壁近门氏孔区室管膜下巨细胞型星形细胞瘤(病理证实),直径约1.5cm,伴肾错钩瘤及肝海绵状血管瘤。其被WHO认定为局限性星形细胞瘤,目前尚无恶变报道,手术全切可以根治,如部分切除同样需要放疗,放疗计划同上。

原浆型星形细胞瘤、少枝胶质细胞瘤

均为弥漫浸润性生长的肿瘤,WHO分级为II级,无论全切与否均需术后放疗,常规分割外照射,DT54-60Gy,如有明显肿瘤残余,可于普通放疗50Gy后X-刀补量。

多形性黄色星形细胞瘤、肥胖型星形细胞瘤

前者为一少见肿瘤,为WHO分类中的II~III级,有一定侵袭性。笔者近5年1200例胶质瘤放疗病例中只见过2例,后者为一过渡性星形细胞瘤,它的出现预示有恶变浸润倾向,以上两类放疗均应按照恶性胶质瘤对待。

恶性胶质瘤

包括间变星形细胞瘤、胶母细胞瘤、间变少枝胶质细胞瘤等,均为中高度恶性胶质瘤,对放射线抗拒,远处转移相对多见。目前推荐的治疗方案为:手术 放疗 化疗,局部放射治疗范围PTV应包括MRT2像上水肿带外放3-4cm,照射50Gy后可考虑缩野补量至60-64Gy。若术后肿瘤明显残余可考虑X-刀或3DCRT补量,如患者难以长期生存可以采用姑息性放疗3Gy×10f或2.5Gy×20f。一般认为采用常规分割,大分割或超分割治疗的效果并无显著差异但存在很多争议。全脑照射一度曾经作为恶性胶质瘤的治疗常规,近来多数研究表明在没有肿瘤种植转移的确凿证据下全脑放疗无必要。

如需咨询,可以加入首都医科大学三博脑科医院微信sanbonaoke,进行咨询。